联系方式:18052091425(汕尾)

医学科研服务

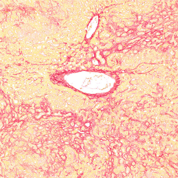
天狼猩红染色

时间:2024-05-21

技术原理
       天狼猩红和KWS都是强酸性染料,易与胶原分子中的碱性基团结合,吸附牢固。偏振光镜检查,胶原纤维有正的单轴双折射光的属性,与KWS-天狼猩红结合,可增强双折射,提高分辨率,从而区分两型胶原纤维。未脱钙骨组织切片经天狼猩红染色后,普通光学显微镜下,胶原纤维呈红色或鲜红色,其他呈黄色;在偏振光显微镜下,Ⅰ型胶原纤维呈强橙黄色或亮红色,Ⅲ型胶原纤维呈绿色。
实验流程

实验结果展示:


<天狼星红-肝>

 
送检与交付标准
       1.样本放置于20倍样本体积的固定液中固定24h以上,常温运输送样。切勿固定时间过长,切勿冷冻结冰。
       2.石蜡切片常温运输,冰冻切片-20℃运输。